A man and woman smiling at the camera while posing together.

Smile Gallery

The image shows a close-up view of a person s teeth with an overbite, featuring white fillings and a pinkish gumline.

Before

The image shows a close-up view of a person s teeth with a focus on a large gap between the front teeth, which are discolored, and a red gumline.

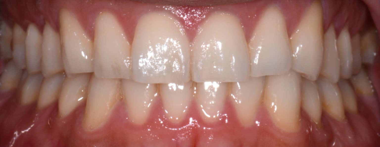
After

Schedule a visit today!
Contact Us
SMS Consent
Submit

Thank You!

We appreciate you taking the time to visit our site. We'll review your message and be in touch with you soon.

Continue
The image shows an interior space with a dining area featuring red booths and tables, a red wall, and a window with blinds partially drawn.